
Home care: Laundry & Cleaning
Skin care
peer-reviewed
From Stains to Sustainability: a new era for fabric care?
TATIANA GONCHAROVA
Business Segment Leader, Laundry, IFF H&B, Russia
ABSTRACT: With shoppers seeking sustainable lifestyle choices, fast fashion under increasing scrutiny, and growing pressure on wallets, it’s no wonder today’s consumers expect more from their laundry routine. It’s not just about removing stains — it’s about preserving garment quality no matter the fabric. This article explores the environmental impacts of consumers’ fabric preferences and what makes clothes feel fresh, ready-to-wear, and worth keeping. We’ll also spotlight how next-generation enzymes can help extend garment life and reduce waste — for example, by leveraging mild degrading action on fabrics like polyester, a dominant material in the clothing industry, to prevent piling. With 120 billion items of clothing produced annually (1), better fabric care can have a big impact — for consumers, budgets, and the planet.
??????????????????
“
“A study in healthy women providing probiotic yogurt for four weeks showed an improvement in emotional responses as measured by brain scans”

Figure 1. Skin Section with Microbiome. Most microorganisms live in the superficial layers of the stratum corneum and in the upper parts of the hair follicles. Some reside in the deeper areas of the hair follicles and are beyond the reach of ordinary disinfection procedures. There bacteria are a reservoir for recolonization after the surface bacteria are removed.
Materials and methods
Studies of major depressive disorder have been correlated with reduced Lactobacillus and Bifidobacteria and symptom severity has been correlated to changes in Firmicutes, Actinobacteria, and Bacteriodes. Gut microbiota that contain more butyrate producers have been correlated with improved quality of life (1).
A study in healthy women providing probiotic yogurt for four weeks showed an improvement in emotional responses as measured by brain scans (2). A subsequent study by Mohammadi et al. (3) investigated the impacts of probiotic yogurt and probiotic capsules over 6 weeks and found a significant improvement in depression-anxiety-stress scores in subjects taking the specific strains of probiotics contained in the yogurt or capsules. Other studies with probiotics have indicated improvements in depression scores, anxiety, postpartum depression and mood rating in an elderly population (4-7).
Other studies have indicated a benefit of probiotic supplementation in alleviating symptoms of stress. In particular, researchers have looked at stress in students as they prepared for exams, while also evaluating other health indicators such as flu and cold symptoms (1). In healthy people, there is an indication that probiotic supplementation may help to maintain memory function under conditions of acute stress.
Introduction and main content
With fast fashion under increasing scrutiny and growing pressure on consumers’ wallets, the clothing industry is in a spin. Shoppers still want to look good but are beginning to seek more sustainable lifestyle choices, too. More mindful consumption starts with fabric choice; consumers are starting to scrutinize the labels of their fashion favorites before making a purchase (2). Consumer preferences around the world, however, are anything but uniform.
In France—the fashion capital of the world, for example, most shoppers consider the choice of fabric to be important, whether they’re looking for smart or sportswear. Here, cotton is preferred to polyester and other fabrics across all clothing categories—often chosen for its high quality, comfort, and appearance, among many other factors. However, polyester remains the most widely used fabric in apparel—in 2021, polyester made up 54% of worldwide textile production (3). And its market size is estimated at USD 118.51 billion in 2023, with projections to grow at a CAGR of 7.3% from 2024 to 2030 (4). Polyester has a place for casual, everyday wear, especially when elasticity and ease of cleaning are crucial (5). French consumers, in particular, are more likely to pick polyester for its price and easy-to-wash properties, especially among younger age groups interested in fast fashion or those with children.

Main reasons consumers consciously choose clothing made from polyester.
Shifts in clothing care
But fabric choice is only half the story. It’s equally important to look at how consumers use and dispose of their clothes as well as why they buy them. Not caring for garments properly can lead to premature degradation, including holes, changing color, and pilling: all factors that can send them straight from closet to landfill. This inevitably has an environmental impact—an issue compounded by the popularity of fast fashion and the quick style turnarounds needed to keep consumers interested.
And even when clothes are not being binned, they’re increasingly being shelved. Global clothing production has doubled over the last 15 years—and sales are not far behind. But these clothes aren’t being worn—at least, not for long. In the US, clothes are only worn for around a quarter of the global average, while in China, clothing utilization—i.e., the number of times a garment is worn before it ceases to be used—has decreased to 70% (1). Fast fashion thrives on a throwaway culture, training us to see clothes not as keepsakes, but as fleeting trends. With new collections hitting shelves weekly—or even multiple times a week—the industry keeps churning, often without fully considering the long-term impact of all those cast-off garments once they’ve served their moment. In short, people are buying more clothes than they need and are missing out on billions of dollars of value by throwing them away.
For every trend, however, there is a counter trend—and the slow fashion movement is starting to gain momentum. Although fashion may never be completely eco-friendly, slow fashion is about re-thinking how fabrics are made, how clothing is produced, how it’s used, and what happens to it at the end of the product life cycle (6). By championing slower, more considered production measures, the initiative aims to address growing consumer interest in conscious buying and to help reduce our collective environmental footprint.
Could all this be part of a wider regulatory shift in the continued war against clothing churn? This year, France amended a bill to impose bigger penalties on fast fashion brands (7)—a bold move that sends an important message to the clothing industry: change is coming. But regulation can only do so much. There’s a growing need for education, to raise awareness of how consumers can purchase clothes more mindfully and ensure proper fabric care to prolong their lifespan.
Ready to wear
So, what makes clothes feel fresh, ready to wear, and worth keeping? Alongside the growing shift towards conscious consumerism, today’s consumers expect more from their laundry routine. It’s not just about removing stains—it’s about preserving garment quality, regardless of material. Whether consumers want to save money and not have to buy new clothes often, or want to look their best for as long as possible, longevity is essential (8).
There’s not a one-size-fits-all approach to fabric care, however—especially when it comes to polyester. While some polyester fabrics are highly durable, others are more prone to pilling after repeated washing and wear, depending on the type of fabric weave. And consumers are noticing – nearly a third of French shoppers are concerned about how polyester garments hold their color, while a fifth are worried about issues like fuzzing or pilling (9). Yet this information is not front of mind for many consumers looking to keep their clothing looking fresh, and proper care techniques often fall by the wayside.
Washing at 30°C is the most common way for consumers to deal with fuzzing or pilling, while washing with similar colors or at 30°C can help manage the dulling of color. Despite this, less than half of consumers in France treat their polyester laundry differently from other fabrics, such as by using a different temperature (30°C), wash cycle or special detergent (10). Meanwhile, in Germany, consumers are coming clean about their habits too; most people still use moderate to high temperatures, such as 40°C or above, to do their laundry (11). Although today’s detergents are often efficient at low-temperature washing, there’s still a widely held belief that colder laundry cycles won’t clean garments as effectively as hotter cycles, putting the longevity of clothing at risk. So, what can be done to keep clothes in good condition and out of landfill?
A clear solution
Although fabric preferences have changed over recent years, consumer washing habits have been slower to evolve. Despite this reticence, there is strong demand for specialist solutions. In fact, over 70% of French consumers are interested in a detergent for polyester clothes that could prevent fuzzing and pilling. While a whopping 85% would buy a polyester-specific detergent that could keep color vibrancy (12).

Consumer’s interest in a detergent that prevents fuzzing/pilling, in a detergent that prevents dulling of colors and/or whites turning grey/yellow in polyester clothes.
Enzyme innovation in detergents has played an important role in fabric care since the 90’s, and recent advances have shown enzymes to be effective in targeting specific stains and materials. Cellulase, for example, is an existing fabric care enzymatic solution which removes fuzz and pills while maintaining whiteness and brightness for cotton-based garments. There are a range of different enzymes to help remove specific stains, too. Proteases target protein-based stains like milk and blood. Amylase is tough on starch-based marks such as potato and pasta, while mannanase treats mannan or sticky gum-based stains like ice cream and sauces. Pectase lyase is used on fruit stains and lipase is known for addressing vegetable fat-based stains.
But what about enzymes to ensure polyester stays looking new? There’s a rising opportunity for fabric care brands to keep up with new textile development and educate consumers on proper care for these types of fabrics – especially as polyester popularity is showing no signs of slowing down (13). This includes information on the right washing cycles as well as developing the right detergents. After all, with so many consumers interested in detergents that prevent fuzzing and pilling, and keep color vibrancy, it’s clear that there’s a gap in the market for polyester-specific solutions that work.
Picking polyesterase
When it comes to polyester clothes, new enzyme classes could hold the key to keeping garments looking new for as long as possible. These next-generation enzymes are helping to extend garment life and reduce the risk of waste further down the line – for example by leveraging mild degrading action on fabrics like polyester to prevent pilling (14).
Polyesterase is an enzyme that is showing huge potential in this area. It was first developed 25 years ago, initially for modifying the surface of polyester fabric to enhance dye uptake. However, more research has since shown that its benefits could span even further, to help reduce pilling too (14). So, how exactly does polyesterase work?
Polyesterase is a typical enzyme, with alpha-helix and beta-plated sheet regions. The active side works to specifically break down the ester bond of the polyester, targeting the amorphous part of the fiber. Polyester can become amorphous due to mechanical friction from washing machines, when fibers become entangled—causing this part of the fabric to be softer and more flexible.

Structure of polyester fibres.
This weakness in the fabric makes these areas of polyester easier to damage during washing, rubbing or just with general wear-and-tear. When broken fibers tangle together, they form balls that give the pilling look (14)—something consumers are keen to avoid. Polyesterase addresses pilling by hydrolyzing amorphous PET fibrils, to prevent build-up on the fabric surface (15). With reduced pilling, clothes can look fresher and less likely to be discarded.

Pills and fuzzes after multicycle wash.
With 120 billion items of clothing produced annually, better fabric care can have a big impact — for consumers, budgets, and the planet (1). Reducing issues such as pilling in polyester clothing through better fabric care and the right laundry solutions is one way of making impact. Research shows that extending clothing lifespan by just nine months can reduce carbon, water, and waste footprints by 20%, saving 5 billion GBP annually (16).
Laundry loads of innovation
What if we could harness the power of next-gen enzymes like polyesterase to further our progress in industry? Scientists at Genencor, now a part of IFF, had this very idea nearly 40 years ago. They had a radical vision to use biotechnology techniques to build better enzymes for laundry detergents. Others thought it impossible; that enzymes from nature couldn’t be improved upon. But this pioneering group of scientists proved them wrong, by becoming the first company to successfully commercialize a protein-engineered laundry detergent enzyme (17). This signaled the start of the bio-revolution, which laid the foundations for a whole new category of biotechnology products.
Over the years, our collective knowledge has been improved and built-upon, and now high-performance enzymes are readily developed for the laundry market at scale. This scientific expertise means that detergent manufacturers can produce laundry detergents that perform under a broad spectrum of laundering conditions to meet a range of consumer needs, such as low temperature washing or reducing steps in the washing process. With such advances cleaning up, it’s win-win for people and our planet.
A clean, bright future
The tides are turning in the clothing industry, with consumers making more considered fabric choices and re-thinking how they can care for their garments better—to make them last longer and ultimately reduce waste. While enzymes are nothing new in the sector, the discovery of next-gen enzyme classes like polyesterase, and the way they can be applied to laundry, is new. By harnessing the power of these small but mighty enzymes, manufacturers can help consumers tackle common clothing concerns at source and at home. The result? A spinning success.
Conclusion
The future of cosmetics lies in the continued evolution of holistic approaches which represents a transformative shift in the industry, merging scientific advancements, natural ingredients, and wellness principles. By understanding and embracing the interconnectedness of these elements, the cosmetics industry can cultivate products that not only enhance external beauty but also contribute to the overall well-being of individuals and the planet.
The interplay between beauty from within and topical cosmetics is the key for future products. The integration of biotechnology and green chemistry is revolutionizing cosmetic formulations, offering sustainable and biocompatible alternatives.
Developers can implement blockchain to trace the journey of ingredients from source to product. Nevertheless, the efficacy of the natural products should be scientifically proven. Marketers can communicate transparency as a brand value, and parallelly educate consumers by highlighting how specific ingredients contribute to radiant and healthy skin.
By embracing the synergy between these approaches and leveraging scientific advancements, the cosmetics industry can provide consumers with comprehensive beauty solutions that cater to both internal and external dimensions of beauty.
Surfactant Applications

The application area lends itself particularly well to the use of AI. Active today in this area is the US company Potion AI (6). The company provides AI-powered formulation tools for beauty and personal care R&D. Their offerings include Potion GPT, next generation ingredient and formula databases and AI document processing. Potion’s work could have a significant impact on the entire surfactant value chain, from raw material suppliers to end consumers. By using their GPT technology, they can help target work toward novel surfactant molecules that have optimal properties for specific applications. By using their ingredient and formula databases, they can access and analyze a vast amount of data on surfactant performance, safety, and sustainability. By using their AI document processing, they can extract and organize relevant information from patents, scientific papers, and regulatory documents. These capabilities could enable Potion AI's customers to design and optimize surfactant formulations that are more effective, eco-friendly, and cost-efficient. A particularly interesting application for this type of capability is deformulation.
Deformulation is the process of reverse engineering a product's formulation by identifying and quantifying its ingredients. Deformulation can be used for various purposes, such as quality control, competitive analysis, patent infringement, or product improvement. However, deformulation can be challenging, time-consuming, and costly, as it requires sophisticated analytical techniques, expert knowledge, and access to large databases of ingredients and formulas.
AI can potentially enhance and simplify the deformulation process by using data-driven methods to infer the composition and structure of a product from its properties and performance. For example, AI can use machine learning to learn the relationships between ingredients and their effects on the product's characteristics, such as color, texture, fragrance, stability, or efficacy. AI can also use natural language processing to extract and analyze information from various sources, such as labels, patents, literature, or online reviews, to identify the possible ingredients and their concentrations in a product.

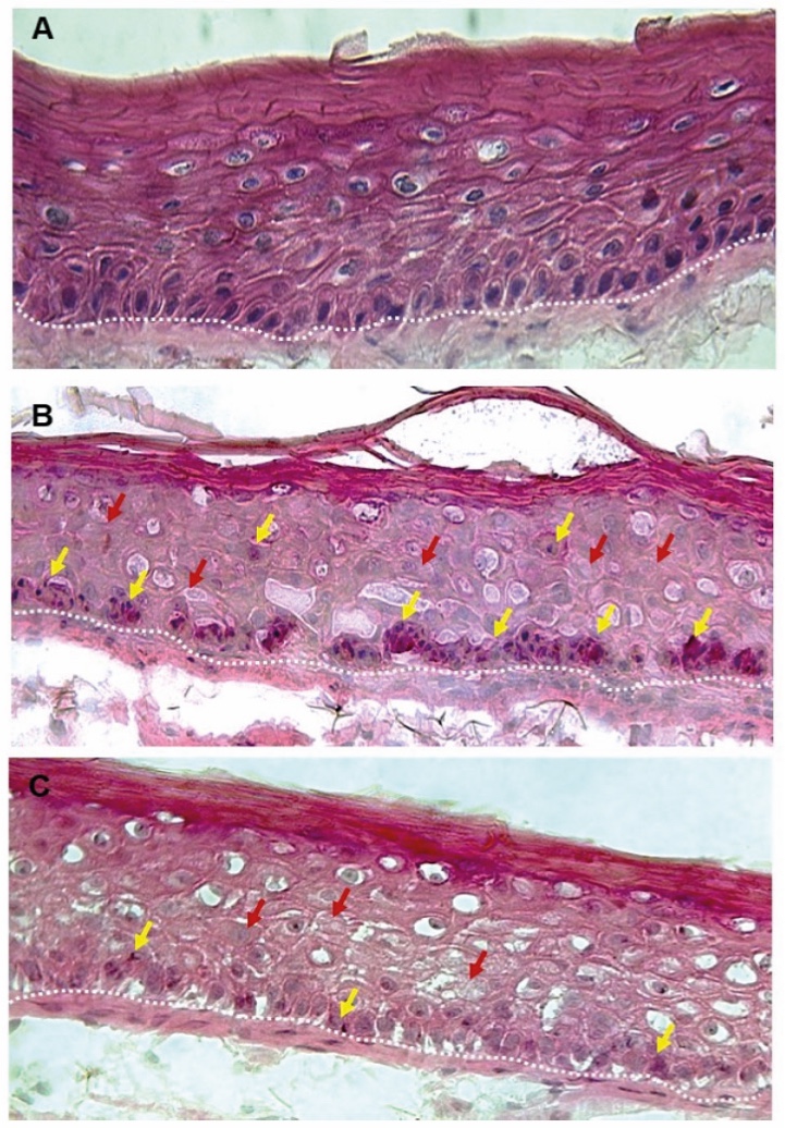
Figure 2. Skin Section with Microbiome. Most microorganisms live in the superficial layers of the stratum corneum and in the upper parts of the hair follicles. Some reside in the deeper areas of the hair follicles and are beyond the reach of ordinary disinfection procedures. There bacteria are a reservoir for recolonization after the surface bacteria are removed.
References and notes
- Ellen Macurthur Foundation, A new textiles economy: Redesigning fashion’s future (2017). https://www.ellenmacarthurfoundation.org/a-new-textiles-economy
- X Yang et al. Attention to brand labels affects, and is affected by, evaluations of product attractiveness. Front Behav. Econ. 2023; (2). https://doi.org/10.3389/frbhe.2023.1274815
- Smelik A, Polyester: A Cultural History. Fashion Practice, 2023; 15(2): 279–299). https://doi.org/10.1080/17569370.2023.2196158
- Polyester Fiber Market Size & Share | Industry Report, 2030
- IFF Fabric Care research 2025 – France report
- Eco Friendly Circle, What is slow fashion? 2024. https://www.ecofriendlycircle.com/post/what-is-slow-fashion-some-tips-to-get-you-started
- https://www.reuters.com/sustainability/land-use-biodiversity/french-senate-backs-law-curb-ultra-fast-fashion-2025-06-10/
- IFF Fabric Care research 2025
- IFF Fabric Care research 2025 – France report
- IFF Fabric Care research 2025 – France report
- IFF, Laundry habits research, Germany 2022
- IFF Fabric Care research 2025; *How interested would you be in a detergent that prevents fuzzing/pilling in polyester clothes?
- Mintel report “The Future of Fabric Care 2024”. https://store.mintel.com/report/the-future-of-fabric-care
- Yoon MY, Kellis J, Poulose AJ, Enzymatic modification of polyester, AATCC Review, 2002; 2(6):33-36). https://www.researchgate.net/publication/279702997_Enzymatic_modification_of_polyester
- IFF proprietary data
- Waste & Resources Action Programme (WRAP), Extending Product Lifetimes: WRAP's Work on Clothing Durability, 2024. https://www.wrap.ngo/resources/case-study/extending-product-lifetimes-wraps-work-clothing-durability
- https://bioscience.iff.com/solutions/fabric-and-home-care/iff-origins-as-biotech-trailblazers
