
Retinol alternatives
Skin care
peer-reviewed
Bakuchiol: A Comprehensive Review of Its Anti-Aging, Antioxidant, and Anticancer Properties
BRIAN PARK
Faculty member, Whitworth University, USA
ABSTRACT: Bakuchiol has become an important subject of research among chemists due to its status as a natural, non-irritating alternative to retinol in addressing signs of aging. It is currently one of the most widely used ingredients in the skincare industry. In addition to its anti-aging properties, bakuchiol exhibits antioxidant, anti-neuroinflammatory, antiproliferative, and anti-cancer activities, particularly against prostate cancer. This article reviews the present clinical and laboratory research on bakuchiol. It also covers its topical applications as an anti-aging agent, its antioxidant capacity against reactive oxygen species, its anti-inflammatory and gene-regulatory effects on skin cells, and its anti-cancer and anti-biofilm properties. Through clinical trials and molecular studies, bakuchiol has shown a promising pharmacological profile, which makes it a compelling candidate for both dermatological and systemic therapies.
??????????????????
“
“A study in healthy women providing probiotic yogurt for four weeks showed an improvement in emotional responses as measured by brain scans”

Figure 1. Skin Section with Microbiome. Most microorganisms live in the superficial layers of the stratum corneum and in the upper parts of the hair follicles. Some reside in the deeper areas of the hair follicles and are beyond the reach of ordinary disinfection procedures. There bacteria are a reservoir for recolonization after the surface bacteria are removed.
Materials and methods
Studies of major depressive disorder have been correlated with reduced Lactobacillus and Bifidobacteria and symptom severity has been correlated to changes in Firmicutes, Actinobacteria, and Bacteriodes. Gut microbiota that contain more butyrate producers have been correlated with improved quality of life (1).
A study in healthy women providing probiotic yogurt for four weeks showed an improvement in emotional responses as measured by brain scans (2). A subsequent study by Mohammadi et al. (3) investigated the impacts of probiotic yogurt and probiotic capsules over 6 weeks and found a significant improvement in depression-anxiety-stress scores in subjects taking the specific strains of probiotics contained in the yogurt or capsules. Other studies with probiotics have indicated improvements in depression scores, anxiety, postpartum depression and mood rating in an elderly population (4-7).
Other studies have indicated a benefit of probiotic supplementation in alleviating symptoms of stress. In particular, researchers have looked at stress in students as they prepared for exams, while also evaluating other health indicators such as flu and cold symptoms (1). In healthy people, there is an indication that probiotic supplementation may help to maintain memory function under conditions of acute stress.
Introduction
In recent years, individuals have been increasingly exposed to polluted environments, while climate change has exacerbated ultraviolet (UV) radiation levels. These environmental stressors, along with the rising prevalence of chronic diseases such as skin cancer and diabetes, contribute significantly to premature skin aging, xerosis (dry skin), cardiovascular dysfunction, and hepatic disorders. Air pollution has been identified as a major accelerator of wrinkle formation and skin condition exacerbation (1). Pharmacognostic evaluations have positioned bakuchiol as a favored ingredient in cosmetic and dermatological formulations. Recent studies also suggest that bakuchiol promotes stress resilience and longevity through the activation of the DAF-16 pathway, which further emphasizes its systemic anti-aging potential beyond dermatology (2). It is considered one of the most effective natural anti-aging compounds currently available, possessing antioxidant, anti-inflammatory, and antiproliferative properties (1). Moreover, bakuchiol has demonstrated the capacity to mitigate allergic responses, particularly those induced by methylisothiazolinone exposure. Consumer interest has surged, with online searches for bakuchiol increasing by more than 275% between 2018 and 2019 (3). This literature review explores the clinical benefits, pharmacological mechanisms, and chemical characteristics of bakuchiol, highlighting its potential as a multifunctional therapeutic agent.
Anti-Aging Properties
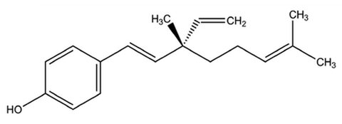
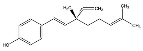
Bakuchiol has demonstrated notable anti-aging effects when applied topically. It functions as an effective analog to modern retinoids by inducing similar gene expression profiles in skin cells (4). Besides acting like retinoids in the skin, bakuchiol also activates different pathways such as DAF-16, which may help slow aging at the cellular level (2). Additionally, Bakuchiol contributes to the improvement of cutaneous photodamage. Prior to the study by Dhaliwal et al., no in vivo investigations had directly compared the efficacy and adverse effects of bakuchiol versus retinol. Their randomized, double-blind clinical trial aimed to evaluate both the therapeutic benefits and potential side effects of bakuchiol in comparison to retinol (4). The figure below illustrates the chemical structure of bakuchiol.

Figure 1. Chemical Structure of Bakuchiol.
Dhaliwal et al. conducted a randomized clinical trial involving 44 participants who applied either a bakuchiol-based product twice daily or a retinol-based product once daily (4). A standardized photographic system was used to capture high-resolution facial images at baseline and at weeks 4, 8, and 12 to assess treatment efficacy. Adverse effects were evaluated using structured tolerability questionnaires. Both bakuchiol and retinol significantly reduced wrinkle surface area and hyperpigmentation; however, bakuchiol demonstrated superior skin tolerability and fewer side effects, indicating its potential as a viable alternative to retinol for improving photoaging (4).
A 2022 systematic review by Puyana et al. found that bakuchiol enhanced signs of photoaging such as fine lines, wrinkles, and hyperpigmentation, with fewer adverse effects than retinoids. These findings align with its growing use as a well-tolerated anti-aging agent in clinical dermatology (5).
Similarly, Hong et al. supported these findings, emphasizing that bakuchiol’s efficacy is closely linked to its chemical composition, whether naturally derived or synthetically produced (1). Their evaluation of various formulations concluded that bakuchiol possesses a multifaceted therapeutic profile, particularly effective in reducing post-inflammatory hyperpigmentation (1).
Goldberg et al. further corroborated these results in their evaluation of a 3-in-1 serum-in-oil formulation containing bakuchiol (6). The product significantly enhanced skin hydration, firmness, and reduced the appearance of wrinkles and redness. Hydration benefits lasted from 30 minutes to 12 hours post-application, while transepidermal water loss decreased within four to six hours. Participant feedback indicated high tolerability across diverse skin types. The authors concluded that the formulation demonstrated substantial anti-aging potential, especially with once-daily use (6).
Bakuchiol Anti-Oxidant Effects
Hong et al. evaluated the antioxidant capacity of a natural bakuchiol complex containing 57.35% bakuchiol, with no more than 100 parts per million (ppm) of angelicin and psoralen (1). The compound’s efficacy was tested against various reactive oxygen species, including hydroxyl radicals, peroxynitrite, peroxyl radicals, singlet oxygen, and superoxide anions. The table below presents the antioxidant profile of the bakuchiol formulation based on these assays.

Table 1. ORAC Values of Bakuchiol Against Reactive Oxygen Species.
Notably, the acceptable precision for the ORAC assay was within 15% relative standard deviation. Furthermore, the total ORACFN value represented the highest overall antioxidant capacity of the bakuchiol formulation against the five primary reactive oxygen species.
Anti-Neuro-Inflammatory Impacts
Ma et al. confirmed that retinoids effectively delay skin aging and help restore skin homeostasis; however, they are commonly associated with adverse effects such as teratogenicity, irritation, and photosensitivity (7). To overcome these limitations, the development of retinoid analogs with improved safety profiles has been pursued. In their study, Ma et al. synthesized bakuchiol salicylate with the goal of replicating the gene expression profile of retinoids while minimizing adverse effects (7). Given its structurally distinct composition, the researchers hypothesized that bakuchiol salicylate would demonstrate fewer negative effects on the skin. This hypothesis was evaluated using keratinocyte cultures exposed to psoriatic cytokines, with gene expression analyzed through custom polymerase chain reaction (PCR) arrays and deoxyribonucleic acid (DNA) microarrays (7).

Figure 2. Bakuchiol Salicylate Synthesis.
Ma et al. synthesized bakuchiol salicylate by combining bakuchiol with salicylic acid (7). Gene expression analysis revealed a reduction in the expression of inflammation-related gene complexes. The compound desensitized keratinocytes to psoriatic cytokines, indicating a potential mechanism of action. These findings support recent research showing that bakuchiol modulates genes like DAF-16, which helps control inflammation, protect against stress, and repair cells (2). Compared to traditional retinoids, bakuchiol salicylate exhibited an enhanced transcription-normalizing profile without displaying a teratogenic retinoid gene signature. It also inhibited interleukin-8 (IL-8) expression and downregulated genes typically associated with psoriatic skin. Moreover, gene expression profiling showed a significant inverse correlation with markers commonly upregulated in psoriatic conditions. This bipartite compound, synthesized from two bioactive agents—bakuchiol and salicylic acid—offers a novel therapeutic strategy for managing inflammatory skin disorders with a reduced risk of adverse effects (7).
Bakuchiol Clinical Efficacy
Poláková et al. demonstrated that a dermocosmetic complex containing bakuchiol, Ginkgo biloba extract, and mannitol—referred to as the BGM complex—enhanced the clinical efficacy of adapalene 0.1% gel in individuals with acne vulgaris (8). In a randomized controlled trial involving 111 participants, subjects received either the BGM complex in combination with adapalene 0.1% gel or a control treatment. Clinical assessments included evaluations of seborrhea intensity, subject self-perception, Investigator Global Assessment (IGA), and overall treatment efficacy. Safety, quality of life, and local skin tolerance were also examined (8).
The results showed significant improvements in global efficacy, seborrhea intensity, IGA scores, and reductions in both inflammatory and non-inflammatory lesions by the end of the study. Differences between the treatment groups reached statistical significance (p = 0.05), with the BGM combination group demonstrating superior outcomes for seborrhea intensity, IGA scores, and inflammatory lesion counts. Subject-reported outcomes and global efficacy ratings further supported the effectiveness of the BGM complex in combination therapy. Quality of life also improved more substantially in the active treatment group compared to the control. Four participants in the BGM group temporarily discontinued adapalene treatment, compared to seven in the control group, and only one subject withdrew due to an allergic reaction. All other adverse events were minor. The study concluded that the BGM complex effectively enhances the therapeutic outcomes of adapalene 0.1% gel in patients with acne (8).
In support of these findings, Puyana et al. also discovered that bakuchiol works well for treating acne and dark spots after inflammation. Their analysis emphasizes its growing role in modern multifunctional skincare formulations. This reinforces bakuchiol’s clinical relevance and versatility (5).
Bakuchiol Anti-Proliferative
Husain et al. investigated the anti-infective properties of bakuchiol and the Psoralea corylifolia methanol fraction (PCMF) in the context of bacterial pathogenicity (9). Molecular docking analyses demonstrated that bakuchiol binds effectively to the active sites of RhIR and LasR—key regulatory proteins in Pseudomonas aeruginosa involved in quorum sensing. These interactions were stabilized by hydrophobic forces, particularly in RhIR–bakuchiol complexes. Furthermore, molecular dynamics (MD) simulations confirmed the stable binding of bakuchiol to the active pockets of both LasR and RhIR. These findings highlight bakuchiol’s therapeutic promise as a modern antimicrobial agent. Instead of acting through conventional bacteriostatic pathways, bakuchiol disrupts quorum sensing (QS) mechanisms, thereby inhibiting biofilm formation and virulence factor expression—demonstrating a novel approach to impairing microbial communication and pathogenicity (9).
Yang et al. assessed the cytotoxic potential of bakuchiol using the MTT assay on SGC-7901 human gastric cancer cells (10). To further explore its cellular effects, phase-contrast microscopy and morphological analysis were conducted to evaluate changes in cell cycle distribution. The results revealed a potent, dose- and time-dependent inhibitory effect on cell proliferation. The half-maximal inhibitory concentration (IC₅₀) values were 42.3 µM at 12 hours, 58.4 µM at 24 hours, and 32.5 µM at 48 hours, indicating progressive cytotoxicity and enhanced efficacy over time (10).

Figure 3. Bakuchiol’s Cytotoxic Impact on the SGC-7901 Gastric Cancer Cells Proliferation.
Yang et al. highlighted the cytotoxic effects of bakuchiol on malignant cell proliferation using SGC-7901 human gastric cancer cells (10). Their study included data expressed as mean ± standard deviation (SD) from independent experiments. Following 48 hours of treatment with bakuchiol at concentrations of 10, 50, and 100 µM, phase-contrast microscopy revealed progressive cell detachment, indicating a loss of cellular adhesion. Additionally, cells displayed intense orange-red fluorescence concentrated at the center, consistent with the induction of apoptosis. This fluorescence was dose-dependent across all concentrations examined. Bakuchiol also promoted sub-G1 phase cell cycle arrest in a concentration-dependent manner, further supporting its pro-apoptotic activity. These findings suggest that bakuchiol acts as a potent cytotoxic agent against gastric cancer cells, with anticancer effects mediated through apoptosis induction and cell cycle disruption at the sub-G1 phase (10).
Bakuchiol Inhibits Biofilm Development on Food and Pathogens
Ornelas et al. proposed that Psoralea corylifolia and its primary active compound, bakuchiol, possess the ability to inhibit acylated homoserine lactone (AHL)-induced quorum sensing and biofilm formation in both foodborne and human-associated pathogens (11). Expanding on this, Husain et al. evaluated various P. corylifolia seed extracts prepared with petroleum ether and methanol for their quorum sensing (QS) modulatory activity across a range of solvent concentrations (9). The extracts were tested against the Chromobacterium violaceum CV12472 strain. The methanol extract, applied at concentrations of 400 and 800 μg/mL, demonstrated fraction-dependent anti-QS activity, while a concentration of 1,600 μg/mL also led to pigment inhibition and modulated bacterial growth (9).
Ethyl acetate and acetone extracts showed reduced pigment inhibition, whereas benzene and ether fractions exhibited no significant activity at any tested concentration. The minimum inhibitory concentration (MIC) of the methanol extract was determined to be 750 μg/mL against C. violaceum CV026, Listeria monocytogenes, and Morganella morganii(9). These findings were further supported by Miao et al., who observed a significant reduction in violacein production with increasing concentrations of the P. corylifolia methanol fraction (PCMF), reinforcing its dose-dependent quorum sensing inhibitory effects (3).
Conclusion
Bakuchiol, owing to its distinctive chemical composition, has emerged as one of the most promising natural alternatives to retinol and related compounds for addressing aging, cancer, inflammation, and other pathological conditions. Clinical reviews, including a 2022 systematic analysis, show bakuchiol’s favorable profile in treating photoaging and acne. Xin et al. conducted a comprehensive review assessing the protective effects and pharmacological mechanisms of bakuchiol in multiple human organ systems, including the liver, heart, and skin (3). While preliminary findings are encouraging, several questions remain concerning the full extent of bakuchiol’s protective roles in these organs.
Future research exploring the chemical pathways and molecular mechanisms underlying bakuchiol's actions may provide deeper insight into its therapeutic applications. For example, bakuchiol has been suggested to protect cardiac tissue from ischemia-reperfusion injury by modulating cardioprotective signaling cascades. It may also inhibit hepatic fibrosis by promoting myofibroblast apoptosis and reducing hepatotoxicity via suppression of oxidative stress. Continued investigation into these biochemical pathways could expand the clinical utility of bakuchiol in managing systemic inflammatory and degenerative diseases (3). Furthermore, emerging evidence indicates that bakuchiol activates the DAF-16 longevity pathway, which shows its relevance in age-related stress adaptation and molecular resilience (2).
Conclusion
The future of cosmetics lies in the continued evolution of holistic approaches which represents a transformative shift in the industry, merging scientific advancements, natural ingredients, and wellness principles. By understanding and embracing the interconnectedness of these elements, the cosmetics industry can cultivate products that not only enhance external beauty but also contribute to the overall well-being of individuals and the planet.
The interplay between beauty from within and topical cosmetics is the key for future products. The integration of biotechnology and green chemistry is revolutionizing cosmetic formulations, offering sustainable and biocompatible alternatives.
Developers can implement blockchain to trace the journey of ingredients from source to product. Nevertheless, the efficacy of the natural products should be scientifically proven. Marketers can communicate transparency as a brand value, and parallelly educate consumers by highlighting how specific ingredients contribute to radiant and healthy skin.
By embracing the synergy between these approaches and leveraging scientific advancements, the cosmetics industry can provide consumers with comprehensive beauty solutions that cater to both internal and external dimensions of beauty.
Surfactant Applications

The application area lends itself particularly well to the use of AI. Active today in this area is the US company Potion AI (6). The company provides AI-powered formulation tools for beauty and personal care R&D. Their offerings include Potion GPT, next generation ingredient and formula databases and AI document processing. Potion’s work could have a significant impact on the entire surfactant value chain, from raw material suppliers to end consumers. By using their GPT technology, they can help target work toward novel surfactant molecules that have optimal properties for specific applications. By using their ingredient and formula databases, they can access and analyze a vast amount of data on surfactant performance, safety, and sustainability. By using their AI document processing, they can extract and organize relevant information from patents, scientific papers, and regulatory documents. These capabilities could enable Potion AI's customers to design and optimize surfactant formulations that are more effective, eco-friendly, and cost-efficient. A particularly interesting application for this type of capability is deformulation.
Deformulation is the process of reverse engineering a product's formulation by identifying and quantifying its ingredients. Deformulation can be used for various purposes, such as quality control, competitive analysis, patent infringement, or product improvement. However, deformulation can be challenging, time-consuming, and costly, as it requires sophisticated analytical techniques, expert knowledge, and access to large databases of ingredients and formulas.
AI can potentially enhance and simplify the deformulation process by using data-driven methods to infer the composition and structure of a product from its properties and performance. For example, AI can use machine learning to learn the relationships between ingredients and their effects on the product's characteristics, such as color, texture, fragrance, stability, or efficacy. AI can also use natural language processing to extract and analyze information from various sources, such as labels, patents, literature, or online reviews, to identify the possible ingredients and their concentrations in a product.

Figure 2. Skin Section with Microbiome. Most microorganisms live in the superficial layers of the stratum corneum and in the upper parts of the hair follicles. Some reside in the deeper areas of the hair follicles and are beyond the reach of ordinary disinfection procedures. There bacteria are a reservoir for recolonization after the surface bacteria are removed.
References and notes
- Hong MF, Jia Q, Brownell LA. Bakuchiol compositions for treatment of post-inflammatory hyperpigmentation. US Patent No. US20170348250A1. 2017.https://patents.google.com/patent/US20170348250A1/en
- Ranjan S, Khan S. Natural anti-aging innovations: Bakuchiol role in longevity and stress resilience through DAF-16 pathway activation. Biochem Biophys Res Commun. 2025;770:151932. https://doi.org/10.1016/j.bbrc.2025.151932
- Xin Z, Wu X, Ji T, Xu B, Han Y, Sun M, et al. Bakuchiol: A newly discovered warrior against organ damage. Pharmacol Res. 2019;141:208–13.https://doi.org/10.1016/j.phrs.2019.01.001
- Dhaliwal S, Rybak I, Ellis S, Notay M, Trivedi M, Burney W, et al. Prospective, randomized, double‐blind assessment of topical bakuchiol and retinol for facial photoageing. Br J Dermatol. 2019;180(2):289–96.https://doi.org/10.1111/bjd.16918
- Puyana C, Chandan N, Tsoukas M. Applications of bakuchiol in dermatology: Systematic review of the literature. J Cosmet Dermatol. 2022 Dec;21(12):6636–43. https://doi.org/10.1111/jocd.15420
- Goldberg DJ, Robinson DM, Granger C. Clinical evidence of the efficacy and safety of a new 3‐in‐1 anti‐aging topical night serum‐in‐oil containing melatonin, bakuchiol, and ascorbyl tetraisopalmitate: 103 females treated from 28 to 84 days. J Cosmet Dermatol. 2019;18(3):806–14.https://doi.org/10.1111/jocd.12896
- Ma S, Gobis K, Swindell WR, Chaudhuri R, Bojanowski R, Bojanowski K. Synthesis and activity of the salicylic acid ester of bakuchiol in psoriasis‐surrogate keratinocytes and skin substitutes. Clin Exp Dermatol. 2017;42(3):251–60.https://doi.org/10.1111/ced.13024
- Poláková K, Fauger A, Sayag M, Jourdan E. A dermocosmetic containing bakuchiol, Ginkgo biloba extract and mannitol improves the efficacy of adapalene in patients with acne vulgaris: Result from a controlled randomized trial. Clin Cosmet Investig Dermatol. 2015;8:187–94.https://doi.org/10.2147/CCID.S81691
- Husain FM, Ahmad I, Khan FI, Al-Shabib NA, Baig MH, Hussain A, et al. Seed extract of Psoralea corylifolia and its constituent bakuchiol impairs AHL-based quorum sensing and biofilm formation in food- and human-related pathogens. Front Cell Infect Microbiol. 2018;8:351.https://doi.org/10.3389/fcimb.2018.00351
- Yang L, Cui M, Zhang L, Song L. FOXM1 facilitates gastric cancer cell migration and invasion by inducing Cathepsin D. Oncotarget. 2017;8:68180–90. https://www.oncotarget.com/article/19254/text/
- Ornelas J, Routt E, Kallis P, Lev-Tov H. Use of the hCONSORT criteria as a reporting standard for herbal interventions for common dermatoses: A systematic review. Br J Dermatol. 2018;178:889–96.https://doi.org/10.1111/bjd.16256
